
Influenza, SARS-CoV-2 and other viruses come in a wide variety of shapes and sizes, and by studying these shapes, scientists can learn how they function and how viral illnesses might be conquered. The standard technique is to use cryo-electron microscopy, but this requires the preparation and freezing of samples, and involves averaging shapes to build a three-dimensional model of a representative virus. However, this averaging can conceal the true range of shapes a virus can take.
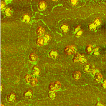
A team of Texas A&M AgriLife researchers has demonstrated the use of tip-enhanced Raman spectroscopy (TERS) and atomic-force microscopy infrared spectroscopy (AFM-IR). TERS allows the determination of the viruses’ overall build, and surface qualities and composition. Whilst AFM-IR provides information about the internal structure. The study was published in Analytical Chemistry.
“The need for very fast and accurate virus identification has always been important in the past, and this year it’s even more important because we know that viruses change; they mutate”, said Dmitry Kurouski, assistant professor in the Texas A&M University College of Agriculture and Life Sciences Department of Biochemistry and Biophysics, who led the study. “If someone has flu-like symptoms, how can we quickly distinguish the flu from COVID-19?”
By combining TERS and AFM-IR, the team compared the surface and overall structure of the virus that causes cold sores, herpes simplex virus Type 1, to that of a virus that infects bacteria, bacteriophage MS2. The researchers were able to distinguish the herpes and bacteriophage virions with 100 % accuracy. Furthermore, the results were consistent with those obtained by cryo-electron microscopy.
“Viruses can be described in terms of a Lego puzzle. Different structures can be built from the same building blocks,” Kurouski said. And, a virus’s shape likely plays a big part in infection, he said, because the first step toward infection occurs at the surfaces of the virus and the host cell. The new combination of methods does not average shapes but instead examines individual virus particles.
“Before, we had no tool to study this heterogeneity,” he said. “Now, we can look at what actually happens in nature.”



